Ir al contenido principal
Sobredosis de Cocaína en muerte - adolescente
- Las Universidades de Maryland - China han publicado los hallazgos de patrones de muerte en adolescentes en la ciudad de Maryland USA en Journal Forensic Sciences Julio 2011.

- La revision de 149 casos entre 13 y 19 años de edad entre 1991 - 2006, fue causado por el abuso de drogas narcoticos con 64.4% y de los cuales un alto procentaje la combinacion de narcoticos y cocaina. La tasa de mortalidad es de 1.4 muertes por 100,000 habitantes en 1991 y ha aumentado a 2.7 muertes por 100,000 habitantes en el 2006.
- En el Peru no tenemos estadisticas sobre la tendencia de mortalidad en adolescentes debido a abuso de drogas, a pesar de tener una base de datos FORENSYS en la ciudad de Lima.
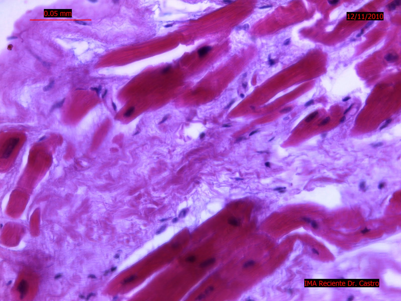
- Los hallazgos histopatologicos encontrados en tejido cardiaco debidos a un vasoespasmo severo de la arteria Carotida ocasiona un infarto masivo como mostramos en la imagen con una clara eosinofilia citiplasmatica del cardiomiocitos, alteraciones arquitecturales citoplasmaticas y hipercromasia nuclear.
Comentarios
Publicar un comentario